Health news, features and articles
Understanding how the body works — and what happens when things change — is paramount to improving the health and wellbeing of every person on the planet. Our team of expert health writers and editors are here to demystify the latest medical advances, explain how the latest health news affects you, and help you understand which exercise equipment can really help improve your fitness. Whether you're after facts about the human body or the secrets to extreme longevity, our health articles and features aim to leave you better informed, up to date with the latest discoveries, and even more curious about human health.
Latest about Health
-
-
OpinionRFK Jr. wants to overhaul the country's 'vaccine court.' Here's what stands in his way.
By Anna Kirkland Published
-

Extreme thinness: Scientists are investigating why some people struggle to gain weight
By Ute Eberle Published
-
OpinionUnpacking RFK Jr.'s (many) false claims about COVID vaccines
By Deborah Fuller Published
-
Science news this weekScience news this week: A key Atlantic current nears collapse, the world's biggest iceberg shatters, and mouse brains rewrite neuroscience
By Ben Turner Published
-

Just 1 dose of LSD could relieve anxiety for months, trial finds
By Nicoletta Lanese Published
-

Scientists invented 'sperm bots' that they piloted through a fake cervix and uterus
By Patrick Pester Published
-

Sports records quiz: How much do you know about the greatest athletic feats of all time?
By Anna Gora Published
-
Explore Health
Ageing
-
-

'Aging clocks' can predict your risk of disease and early death. Here's what to know.
By Patrick Sullivan Published
-

Aging: What happens to the body as it gets older?
By Mindy Weisberger Published
-

Brain scans could reveal your true biological age
By Patrick Sullivan Published
-

'I was floored by the data': Psilocybin shows anti-aging properties in early study
By Jane Palmer Published
-

New study raises big questions about taurine as anti-aging supplement
By Nicoletta Lanese Published
-

Combo of cancer therapy drugs increases mice lifespan by 30%
By Patrick Pester Published
-

Heat waves may accelerate the aging process
By Sanket Jain Published
-

Years of 'confusion and debate' are over — research finds hormone therapy is good for women's hearts in early menopause
By Matthew Nudy Published
-

Silent X chromosome genes 'reawaken' in older females, perhaps boosting brain power, study finds
By Nicoletta Lanese Published
-
Alcohol
-
-

The brain might have a hidden 'off switch' for binge drinking
By Marianne Guenot Published
-

Can weight loss drugs help you drink less alcohol?
By Marianne Guenot Published
-

How does alcohol cause cancer?
By Clarissa Brincat Published
-

What counts as 'binge drinking'? What about 'high-intensity drinking'?
By Clarissa Brincat Published
-

Why do hangovers get worse with age?
By Marilyn Perkins Published
-

Are people more honest when they're drunk?
By Marilyn Perkins Published
-

What happens to your body when you stop drinking alcohol?
By Emily Cooke Last updated
-

Can drinking alcohol really cause hiccups?
By Anna Gora Published
-

Finally, scientists explain the dreaded 'red wine headache'
By Emily Cooke Published
-
Allergies
-
-
BUYING GUIDEBest air purifiers for allergies 2025: Breathe easy this hay fever season
By Molly Cleary Last updated
-
REFERENCEDo air purifiers help with allergies?
By Kerry Taylor-Smith Last updated
-

Is playing in the dirt good for kids' immune systems?
By Emily Cooke Last updated
-
REFERENCEDo air purifiers help with dust?
By Katie Treharne Last updated
-

Could allergies be 'deleted' someday?
By Rebecca Sohn Last updated
-

Can you really be allergic to the sun?
By Anna Gora Published
-

What causes metal allergies?
By Anna Gora Published
-

The 5 most common seasonal allergies
By Anna Gora Published
-
ReferenceDo dehumidifiers help with allergies?
By Lawrie Jones Last updated
-
Anatomy
-
-

Staring at the March 29 solar eclipse can cause eye damage in seconds — and you won’t even feel it happening
By Emily Cooke Published
-

New cells discovered in eye could help restore vision, scientists say
By Emily Cooke Published
-

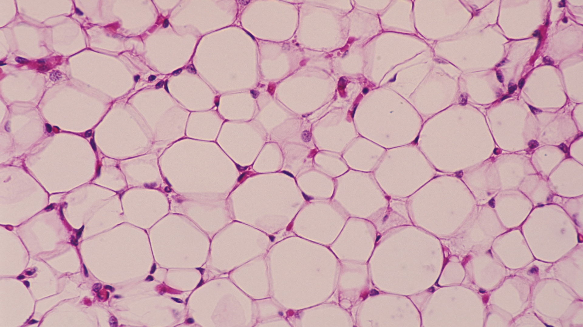
Scientists describe new type of fat in human bellies
By Marianne Guenot Published
-
'Vestigial' human ear-wiggling muscle actually flexes when we're straining to hear
By Clarissa Brincat Published
-

How many more calories does muscle burn than fat?
By Kamal Nahas Published
-

Scientists discover new kind of cartilage that looks like fat-filled 'Bubble Wrap'
By Nicoletta Lanese Published
-

Astronauts to grow livers in space, where microgravity might help them thrive
By Stephanie Pappas Published
-

Scientists launch amazing 'atlas' of embryos, showing how cells move and develop through time
By Nicoletta Lanese Published
-

Scientists just made mice 'see-through' using food dye — and humans are next
By Emily Cooke Published
-
Autism
-
-

'Butterfly effect' may explain some genetic causes of autism
By Emily Cooke Published
-

Rates of autism diagnosis in children are at an all time high, CDC report suggests
By Sascha Pare Published
-

Confirmed: No Link Between Autism and Measles Vaccine, Even for 'At Risk' Kids
By Laura Geggel Published
-

Autism Risk May Increase If Child's Mother Has High DDT Exposure
By Laura Geggel Published
-

Can Marijuana Treat Autism? These Clinical Trials Aim to Find Out
By Laura Geggel Published
-

What's Behind the Recent Rise in Autism in the US?
By Rachael Rettner Published
-

AI Predicts Autism Based on Infant Brain Scans
By Tracy Staedter Published
-

Can a Drug That Fights Parasites Also Help with Autism?
By Laura Geggel Published
-

New Policies Would Threaten Autism Research, Experts Say
By Christopher Wanjek Published
-
Death
-
-

'Microbes of death' can reveal when a frozen body died, forensic scientists explain
By Noemi Procopio Published
-

Drowning deaths in US on the rise for the 1st time in decades
By Emily Cooke Published
-

April 8 eclipse could bring uptick in fatal car crashes, scientists caution
By Nicoletta Lanese Published
-

'We don't yet have the know-how to properly maintain a corpse brain': Why cryonics is a non-starter in our quest for immortality
By Venki Ramakrishnan Published
-

'Microbiome of death' uncovered on decomposing corpses could aid forensics
By Christoph Schwaiger Published
-

Undetected brain infections may explain some SIDS cases
By Nicoletta Lanese Published
-

Seizures may be a cause of sudden unexplained child deaths
By Stephanie Pappas Published
-

Some people whose brains flatline but survive can recall lucid 'experiences of death'
By Rachel Nuwer Published
-

Night owls may die earlier because they tend to drink and smoke more, study suggests
By Carissa Wong Published
-
Diabetes
-
-

Diabetic man produces his own insulin after gene-edited cell transplant
By Lydia Smith Published
-

We may finally understand how metformin lowers blood sugar, animal study finds
By Kamal Nahas Published
-

In a 1st, scientists reversed type 1 diabetes by reprogramming a person's own fat cells
By Tia Ghose Published
-

Beware smartwatches that claim to monitor blood sugar without skin prick, FDA says
By Nicoletta Lanese Published
-

Sugar-loving fruit bats' genes could point to new diabetes treatments, scientists say
By Wei Gordon Published
-
referenceType 3 diabetes: Symptoms, causes and treatments
By Lou Mudge Last updated
-
referenceWhich vegetables are good for diabetics?
By Lou Mudge Last updated
-
referenceVegan diet for diabetes: Tips, benefits and safety
By Anna Gora Last updated
-
referenceWhich fruits are good for diabetics?
By Joanne Lewsley Last updated
-
Exercise
-
-

Sports records quiz: How much do you know about the greatest athletic feats of all time?
By Anna Gora Published
-
Buying GuideBest Garmin watches 2025: From basic fitness bands to powerful adventure smartwatches
By Andrew Williams Last updated
-
DealsThe 3 best fitness tracker deals we have spotted in the Labor Day sale
By Anna Gora Published
-
ReviewsGarmin Forerunner 970 review — A serious smartwatch for running pros
By Andrew Williams Published
-
Buying GuideBest fitness trackers 2025: From smart rings to multisport GPS watches
By Andrew Williams Last updated
-
ReviewsWhoop MG review — A screenless fitness tracker for performance geeks
By Anna Gora Published
-
Buying guidesBest fitness trackers for beginners 2025 — From Apple Watch to Garmin Forerunner 165
By Lloyd Coombes Published
-
DealsOur favorite indoor cycling shoes have just dropped to their lowest-ever price
By Anna Gora Published
-
DealsOutdoor explorers! Don't miss these 8 last-minute Prime Day smartwatch deals
By Anna Gora Last updated
-
Fertility, Pregnancy & Birth
-
-

Scientists invented 'sperm bots' that they piloted through a fake cervix and uterus
By Patrick Pester Published
-

We finally have an idea of how the lifetime supply of eggs develops in primates
By Sophie Berdugo Published
-

'I would never let a robot incubate my child': Poll on 'pregnancy robots' divides Live Science readers
By Elise Poore Published
-

$14,000 pregnancy robot from China isn't real. But is a similar technology possible?
By Nicoletta Lanese Published
-

If 'pregnancy robots' were real, would you use one?
By Nicoletta Lanese Published
-

'We know what to do; we just have to implement it.': Pregnancy is deadlier in the US than in other wealthy countries. But we could fix that.
By Stephanie Pappas Published
-

How does 'getting your tubes tied' work?
By Perri Thaler Published
-

FDA panel has cast doubt on whether antidepressants are safe in pregnancy. Here's what the science actually says.
By Nicole Amoyal Pensak Published
-

Incredible, first-of-its-kind video shows human embryo implanting in real time
By Kristina Killgrove Published
-
Food & Diet
-
-

FDA recalls more bagged, frozen shrimp over possible radioactive cesium contamination
By Nicoletta Lanese Last updated
-

Man sought diet advice from ChatGPT and ended up with dangerous 'bromism' syndrome
By Nicoletta Lanese Published
-

No-sugar sweetener erythritol may pose risk to cells in the brain
By Isha Ishtiaq Published
-

People on Ozempic start disliking meat and fried foods. We're starting to learn why.
By Lori Youmshajekian Published
-

Diagnostic dilemma: A man ended up in the ER after drinking 6 gallons of milk in 2 days
By Mindy Weisberger Published
-

What is alkaline water, and does it have any benefits?
By Manuela Callari Published
-

FDA bans red dye No. 3 in food
By Nicoletta Lanese Published
-

Do bay leaves actually add flavor, or is it all a con?
By Donavyn Coffey Published
-

Diagnostic dilemma: A man's heart stopped after he ate too much licorice
By Nicoletta Lanese Published
-
Genetics
-
-

Gene that human ancestors lost millions of years ago could help treat gout
By Jennifer Zieba Published
-

Scraps of ancient viruses make up 40% of our genome. They could trigger brain degeneration.
By Amber Dance Published
-

Scientists uncover 'coils' in DNA that form under pressure
By Larissa G. Capella Published
-

Special protection may help human eggs stay fresh as the body ages
By Nicoletta Lanese Published
-

8 'hotspots' in the genome linked to ME/CFS in largest study of its kind
By RJ Mackenzie Published
-

Humans may have untapped 'superpowers' from genes related to hibernation, scientists claim
By Christoph Schwaiger Published
-

Scientists reveal how viruses hidden in our DNA control our genes
By Ben Turner Published
-

Best-ever map of the human genome reveals 'hidden' regions of DNA
By Nicoletta Lanese Published
-

8 babies spared from potentially deadly inherited diseases through new IVF 'mitochondrial donation' trial
By Nicoletta Lanese Published
-
Heart & Circulation
-
-

Gum disease treatment slows the thickening of arteries, clinical trial shows
By Sophie Berdugo Published
-

The human heart: Facts about the body's hardest-working muscle
By Mindy Weisberger Last updated
-

A rare genetic disease stained a woman's heart black
By Nicoletta Lanese Published
-

How do fitness trackers measure your heart rate?
By Anna Gora Published
-

'Breakthrough' stem-cell patches stabilized woman's heart as she awaited transplant
By Jess Thomson Published
-

Diagnostic dilemma: A woman got 'broken heart syndrome' after eating too much wasabi
By Mindy Weisberger Published
-

How many blood types are there?
By Marilyn Perkins Published
-

Women are at higher risk of dying from heart disease. Here's why.
By Amy Huebschmann Published
-

'Wake-up call': Women are more likely than men to die of complications after heart surgery
By Julie Goldenberg Published
-
Immune System
-
-

Mitochondria aren't only the 'powerhouses of cells' — they also battle germs
By Andrew Monteith Published
-

Twin study reveals signs of MS that might be detectable before symptoms
By Michael Schubert Published
-

Scientist who discovered body's 'fire alarm' against invading bacteria wins $250,000 Lasker prize
By Nicoletta Lanese Published
-

Why are some people's mosquito bites itchier than others'? New study hints at answer
By Michael Schubert Published
-

Scientists breed most human-like mice yet
By Emily Cooke Published
-

Master regulator of inflammation found — and it's in the brain stem
By Emily Cooke Published
-

Women have 4 times men's rate of autoimmune disease. The X chromosome may be to blame.
By Emily Cooke Published
-

Why is snot sticky?
By Anna Gora Published
-

Inflammation is a 'mismatch between our evolutionary history and modern environment,' says immunologist Ruslan Medzhitov
By Emily Cooke Published
-
Medicine & Drugs
-
-
OpinionRFK Jr. wants to overhaul the country's 'vaccine court.' Here's what stands in his way.
By Anna Kirkland Published
-
OpinionUnpacking RFK Jr.'s (many) false claims about COVID vaccines
By Deborah Fuller Published
-

Just 1 dose of LSD could relieve anxiety for months, trial finds
By Nicoletta Lanese Published
-

Does cannabis raise the risk of cancer?
By Anirban Mukhopadhyay Published
-

You may not really be allergic to penicillin. Here's how to find out if you are.
By Elizabeth W. Covington Published
-

Prominent medical journal refuses RFK's call to retract a vaccine study
By Anna Rogers Published
-
Interview'These decisions were completely reckless': Funding cuts to mRNA vaccines will make America more vulnerable to pandemics
By Nicoletta Lanese Published
-

Caffeine may help bacteria resist antibiotics, study finds
By Clarissa Brincat Published
-

Pizzeria mishap left at least 85 people intoxicated with THC after infused oil used for dough
By Nicoletta Lanese Published
-
Mind
-
-

Map of 600,000 brain cells rewrites the textbook on how the brain makes decisions
By RJ Mackenzie Published
-

'Minibrains' reveal secrets of how key brain cells form in the womb
By Nicoletta Lanese Published
-

New brain implant can decode a person's 'inner monologue'
By Skyler Ware Published
-

Can you dream during non-REM sleep?
By Marilyn Perkins Published
-

When your mind goes 'blank,' your brain activity resembles deep sleep, scans reveal
By Roberta McLain Published
-

Warm and cool temperatures travel on completely different paths to the brain
By Perri Thaler Published
-

Mental 'time travel' may help restore fading memories
By RJ Mackenzie Published
-

Memories aren't static in the brain — they 'drift' over time
By Nicoletta Lanese Published
-

New pocket-size model of ALS 'breathes and flows like human tissue'
By Isha Ishtiaq Published
-
More about Health
-
-

Sports records quiz: How much do you know about the greatest athletic feats of all time?
By Anna Gora Published
-

Scientists develop 'glue gun' that 3D prints bone grafts directly onto fractures
By Kristina Killgrove Published
-

Gene that human ancestors lost millions of years ago could help treat gout
By Jennifer Zieba Published
-
